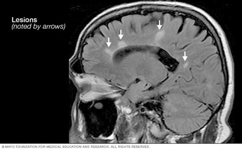
does ms cause brain lesions
does ms cause brain lesions. There are some references to does ms cause brain lesions in this article. If you are looking for does ms cause brain lesions you've came to the right place. We have posts about does ms cause brain lesions. You can check it out below.
Showing posts matching the search for does ms cause brain lesionsBlog Archive
-
▼
2023
(83)
-
▼
May
(35)
- Holy Saturday And The Easter Vigil: What To Expect...
- Mlb Network Opening Day Schedule
- Stormy Daniels Jimmy Kimmel
- The Connection Between Patriots' Day And Marathon ...
- Nashville Waffle House Shooting Victims
- What Is Indictment Part Heard Trial
- The Role Of Icons In Orthodox Good Friday Observance
- What Is Japan's Conviction Rate
- Opening Day 2023 Mlb
- Nashville Blooming Festival Shooting
- Nashville Armory Indoor Shooting Range
- What Is Indictment Jail
- Emancipation Day And Education: The Importance Of ...
- Opening Day 2023 Mlb Schedule
- What Is Ysl Indictment
- Mlb Opening Day Best Games
- What Is Investigation Quora
- The Evolution Of Tax Day: From Paper Forms To Onli...
- Alvin Bragg Family Photos
- Opening Day Records Mlb
- What Is Gang Indictment
- What Is Indictment In Criminal Justice
- Opening Day Mlb Baseball
- Mlb Opening Day Schedule
- Opening Day Mlb 2023 Dodgers
- Mlb Opening Day Astros
- Mlb Opening Day 2024
- Mlb Opening Day Roster Predictions
- Opening Day Mlb 2023 Scores
- Alvin L. Bragg Jr
- Mlb Opening Day Game Odds
- Mlb Opening Day Update
- Mlb Opening Day Countdown Clock
- Shooting In West Nashville Last Night
- Mlb Opening Day 2023 Lineups
-
▼
May
(35)
Total Pageviews
Search This Blog
Powered by Blogger.
